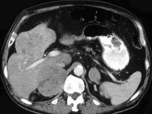
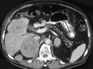
男性,60岁,曾患乙肝,肝硬化多年,右上腹胀痛1月余,AFP为80.8μg/L,CT检查如图所示,最佳的诊断是 ( )A.肝结节性增生、右肾上腺瘤...

作者: rantiku 人气: - 评论: 0
问题 男性,60岁,曾患乙肝,肝硬化多年,右上腹胀痛1月余,AFP为80.8μg/L,CT检查如图所示,最佳的诊断是 ( )
选项 A.肝结节性增生、右肾上腺瘤 B.肝、右肾上腺均为转移瘤 C.肝癌右肾上腺转移 D.肝腺瘤、右肾上腺腺瘤 E.肾上腺癌肝转移
答案 C
解析

猜你喜欢

发表评论
更多 网友评论0 条评论)
暂无评论

访问排行

Copyright © 2012-2014 恰考网 Inc. 保留所有权利。 Powered by tikuer.com

页面耗时0.0523秒, 内存占用1.03 MB, Cache:redis,访问数据库20次