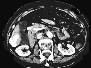
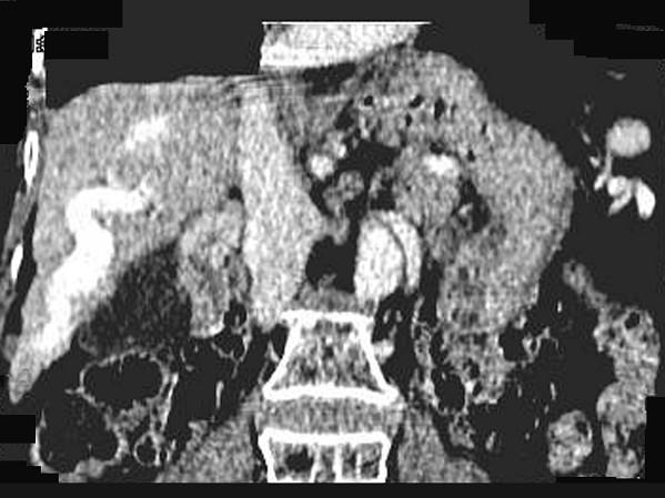
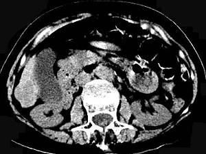
女,70岁,发现乙型肝炎10年,3年前CT诊断为肝硬化,CT检查见图,最可能的诊断是 ( )A.肝癌B.肝硬化、肝血管瘤C.肝硬化...

作者: rantiku 人气: - 评论: 0
问题 女,70岁,发现乙型肝炎10年,3年前CT诊断为肝硬化,CT检查见图,最可能的诊断是 ( )
选项 A.肝癌 B.肝硬化、肝血管瘤 C.肝硬化、门脉瘤样扩张 D.肝门脉畸形 E.肝转移瘤、门脉扩张
答案 C
解析

猜你喜欢

发表评论
更多 网友评论0 条评论)
暂无评论

访问排行

Copyright © 2012-2014 恰考网 Inc. 保留所有权利。 Powered by tikuer.com

页面耗时0.0792秒, 内存占用1.03 MB, Cache:redis,访问数据库20次