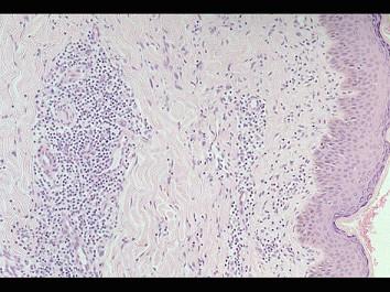
如图中所示,关于莱姆病的皮肤病变,下列哪项说法是错误的 ( )A.早期为非特异性的组织病理改变B.早期可见组织充血,密集的表皮淋巴细胞浸润C....

作者: rantiku 人气: - 评论: 0
问题 如图中所示,关于莱姆病的皮肤病变,下列哪项说法是错误的 ( )
选项 A.早期为非特异性的组织病理改变 B.早期可见组织充血,密集的表皮淋巴细胞浸润 C.早期还可见浆细胞、吞噬细胞,偶可见嗜酸细胞 D.晚期细胞浸润以浆细胞占优势 E.晚期皮肤静脉扩张和内皮增生极少见
答案 E
解析

猜你喜欢

发表评论
更多 网友评论0 条评论)
暂无评论

访问排行

Copyright © 2012-2014 恰考网 Inc. 保留所有权利。 Powered by tikuer.com

页面耗时0.0464秒, 内存占用1.03 MB, Cache:redis,访问数据库19次