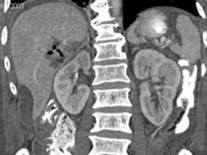
男,44岁,发热、右上腹痛、压痛,右下肺呼吸音低,影像检查如图,最佳诊断是 ( )A.腹腔积液B.膈下脓肿C.肝包膜下出血D.肝硬化腹...

作者: rantiku 人气: - 评论: 0
问题 男,44岁,发热、右上腹痛、压痛,右下肺呼吸音低,影像检查如图,最佳诊断是 ( )
选项 A.腹腔积液 B.膈下脓肿 C.肝包膜下出血 D.肝硬化腹水 E.肝癌
答案 B
解析

猜你喜欢

发表评论
更多 网友评论0 条评论)
暂无评论

访问排行

Copyright © 2012-2014 恰考网 Inc. 保留所有权利。 Powered by tikuer.com

页面耗时0.0795秒, 内存占用1.03 MB, Cache:redis,访问数据库19次