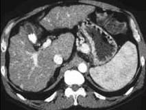
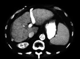
下列图像最佳诊断是什么 ( )A.肝囊肿B.肝脓肿C.肝硬化D.原发性肝癌E.肝包虫病

作者: rantiku 人气: - 评论: 0
问题 下列图像最佳诊断是什么 ( )
选项 A.肝囊肿 B.肝脓肿 C.肝硬化 D.原发性肝癌 E.肝包虫病
答案 C
解析

猜你喜欢

发表评论
更多 网友评论0 条评论)
暂无评论
错误啦!

错误信息

  • 消息: [程序异常] : MISCONF Redis is configured to save RDB snapshots, but it's currently unable to persist to disk. Commands that may modify the data set are disabled, because this instance is configured to report errors during writes if RDB snapshotting fails (stop-writes-on-bgsave-error option). Please check the Redis logs for details about the RDB error.
  • 文件: /twcms/kongphp/cache/cache_redis.class.php
  • 位置: 第 85 行
    <?php echo 'KongPHP, Road to Jane.'; ?>