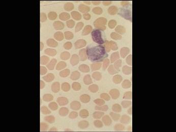
如图,传染性单核细胞增多症病人血液中异型淋巴细胞增多,它属于哪一种细胞 ( )A.TH1细胞B.TH2细胞C.TSBD.CTLE.淋巴细胞

作者: rantiku 人气: - 评论: 0
问题 如图,传染性单核细胞增多症病人血液中异型淋巴细胞增多,它属于哪一种细胞 ( )
选项 A.TH1细胞 B.TH2细胞 C.TSB D.CTL E.淋巴细胞
答案 D
解析

猜你喜欢

发表评论
更多 网友评论0 条评论)
暂无评论

访问排行

Copyright © 2012-2014 恰考网 Inc. 保留所有权利。 Powered by tikuer.com

页面耗时0.0421秒, 内存占用1.03 MB, Cache:redis,访问数据库20次