男,50岁,患乙肝多年,现腹胀,右上腹痛,消化不良,消瘦、乏力、贫血、黄疸,血清转氨酶升高,白蛋白/球蛋白比值倒置。CT检查如下图,最可能的诊断是 ( )...

作者: rantiku 人气: - 评论: 0
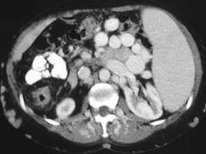
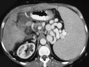
问题 男,50岁,患乙肝多年,现腹胀,右上腹痛,消化不良,消瘦、乏力、贫血、黄疸,血清转氨酶升高,白蛋白/球蛋白比值倒置。CT检查如下图,最可能的诊断是 ( )
选项 A.肝硬化、肝癌 B.肝硬化、腹膜后淋巴结肿大 C.肝硬化、肝癌、腹膜后淋巴结肿大 D.肝硬化、门脉曲张、脾大 E.肝硬化、脾大
答案 D
解析

猜你喜欢

发表评论
更多 网友评论0 条评论)
暂无评论
错误啦!

错误信息

  • 消息: [程序异常] : MISCONF Redis is configured to save RDB snapshots, but it's currently unable to persist to disk. Commands that may modify the data set are disabled, because this instance is configured to report errors during writes if RDB snapshotting fails (stop-writes-on-bgsave-error option). Please check the Redis logs for details about the RDB error.
  • 文件: /twcms/kongphp/cache/cache_redis.class.php
  • 位置: 第 85 行
    <?php echo 'KongPHP, Road to Jane.'; ?>