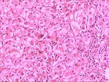
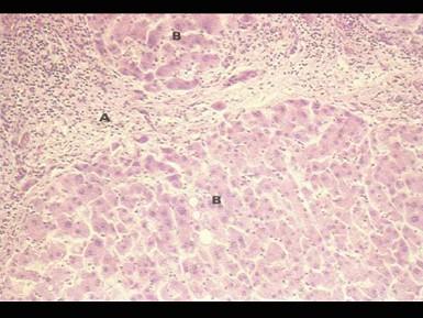
如图所示,急性重型肝炎的主要病理变化是 ( )A.毛细胆管淤胆B.肝细胞灶性坏死C.汇管区结缔组织增生D.肝小叶及汇管区单核细胞浸润 ...

作者: rantiku 人气: - 评论: 0
问题 如图所示,急性重型肝炎的主要病理变化是 ( )
选项 A.毛细胆管淤胆 B.肝细胞灶性坏死 C.汇管区结缔组织增生 D.肝小叶及汇管区单核细胞浸润 E.肝细胞广泛性坏死
答案 E
解析

猜你喜欢

发表评论
更多 网友评论0 条评论)
暂无评论
错误啦!

错误信息

  • 消息: [程序异常] : MISCONF Redis is configured to save RDB snapshots, but it's currently unable to persist to disk. Commands that may modify the data set are disabled, because this instance is configured to report errors during writes if RDB snapshotting fails (stop-writes-on-bgsave-error option). Please check the Redis logs for details about the RDB error.
  • 文件: /twcms/kongphp/cache/cache_redis.class.php
  • 位置: 第 85 行
    <?php echo 'KongPHP, Road to Jane.'; ?>