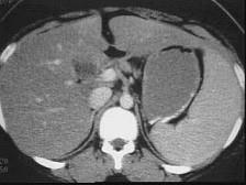
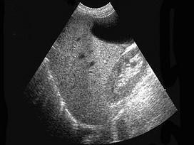
下列图像最可能的诊断是 ( )A.脂肪肝B.肝囊肿C.肝血管瘤D.原发性肝癌E.肝炎肝硬化

作者: rantiku 人气: - 评论: 0
问题 下列图像最可能的诊断是 ( )
选项 A.脂肪肝 B.肝囊肿 C.肝血管瘤 D.原发性肝癌 E.肝炎肝硬化
答案 A
解析

猜你喜欢

发表评论
更多 网友评论0 条评论)
暂无评论

访问排行

Copyright © 2012-2014 恰考网 Inc. 保留所有权利。 Powered by tikuer.com

页面耗时0.0649秒, 内存占用1.03 MB, Cache:redis,访问数据库20次