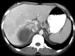
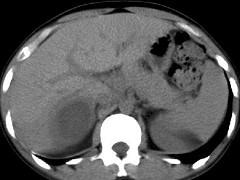
女,25岁,上腹疼痛不适,低热,有阿米巴痢疾病史,CT检查发现肝右叶低密度病变,如图,最可能的诊断是 ( )A.原发性肝癌B.肝血管瘤C....

作者: rantiku 人气: - 评论: 0
问题 女,25岁,上腹疼痛不适,低热,有阿米巴痢疾病史,CT检查发现肝右叶低密度病变,如图,最可能的诊断是 ( )
选项 A.原发性肝癌 B.肝血管瘤 C.肝错构瘤 D.阿米巴肝脓肿 E.肝转移瘤
答案 D
解析

猜你喜欢

发表评论
更多 网友评论0 条评论)
暂无评论

访问排行

Copyright © 2012-2014 恰考网 Inc. 保留所有权利。 Powered by tikuer.com

页面耗时0.0496秒, 内存占用1.03 MB, Cache:redis,访问数据库18次