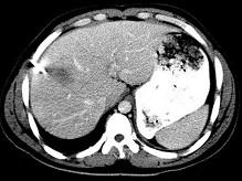
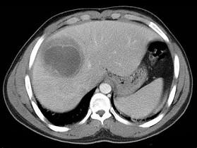
下列图像最佳诊断是什么 ( )A.阿米巴肝脓肿B.原发性肝癌C.肝转移瘤D.肝硬化E.脂肪肝

作者: rantiku 人气: - 评论: 0
问题 下列图像最佳诊断是什么 ( )
选项 A.阿米巴肝脓肿 B.原发性肝癌 C.肝转移瘤 D.肝硬化 E.脂肪肝
答案 A
解析

猜你喜欢

发表评论
更多 网友评论0 条评论)
暂无评论

访问排行

Copyright © 2012-2014 恰考网 Inc. 保留所有权利。 Powered by tikuer.com

页面耗时0.0394秒, 内存占用1.03 MB, Cache:redis,访问数据库18次