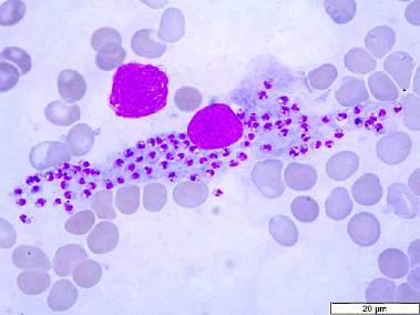
图为杜氏利什曼原虫生活史的无鞭毛体阶段,下列关于无鞭毛体说法错误的是 ( )A.也称为利杜体B.在37℃组织培养中,其前端有一游离鞭毛C.见于...

作者: rantiku 人气: - 评论: 0
问题 图为杜氏利什曼原虫生活史的无鞭毛体阶段,下列关于无鞭毛体说法错误的是 ( )
选项 A.也称为利杜体 B.在37℃组织培养中,其前端有一游离鞭毛 C.见于人和哺乳动物单核-巨噬细胞内 D.在37℃组织培养中呈卵圆形 E.在37℃组织培养中大小约4.4μm×2.8μm
答案 B
解析

猜你喜欢

发表评论
更多 网友评论0 条评论)
暂无评论

访问排行

Copyright © 2012-2014 恰考网 Inc. 保留所有权利。 Powered by tikuer.com

页面耗时0.0469秒, 内存占用1.03 MB, Cache:redis,访问数据库19次