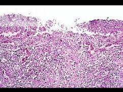
根据图,关于菌痢的病理改变正确的是 ( )A.黏膜充血、水肿、中性粒细胞和巨噬细胞浸润B.粘膜下层、肌层、浆膜层有明显的炎症反应C.假...

作者: rantiku 人气: - 评论: 0
问题 根据图,关于菌痢的病理改变正确的是 ( )
选项 A.黏膜充血、水肿、中性粒细胞和巨噬细胞浸润 B.粘膜下层、肌层、浆膜层有明显的炎症反应 C.假膜主要为纤维素、坏死的肠粘膜、细菌、嗜中性粒细胞及红细胞等,部分有脱落 D.整个肠粘膜有假膜覆盖,粘膜上皮及腺体大片消失 E.大约一周左右,假膜开始脱落,形成大小不等,形状不一的“地图状”溃疡如图
答案 ABCDE
解析

猜你喜欢

发表评论
更多 网友评论0 条评论)
暂无评论

访问排行

Copyright © 2012-2014 恰考网 Inc. 保留所有权利。 Powered by tikuer.com

页面耗时0.0346秒, 内存占用1.03 MB, Cache:redis,访问数据库19次