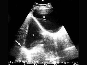
下列声像图显示的是?(?)A.边缘声影B.阻抗伪像C.旁瓣效应D.镜像伪像E.散射伪像

作者: rantiku 人气: - 评论: 0
问题 下列声像图显示的是?(?)
选项 A.边缘声影 B.阻抗伪像 C.旁瓣效应 D.镜像伪像 E.散射伪像
答案 D
解析

猜你喜欢

发表评论
更多 网友评论0 条评论)
暂无评论

访问排行

Copyright © 2012-2014 恰考网 Inc. 保留所有权利。 Powered by tikuer.com

页面耗时0.0411秒, 内存占用1.03 MB, Cache:redis,访问数据库20次