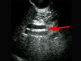
红色箭头所指部位是?(?)A.管环征B.滚石征C.双筒枪征D.米老鼠征E.飞鸟征

作者: rantiku 人气: - 评论: 0
问题 红色箭头所指部位是?(?)
选项 A.管环征 B.滚石征 C.双筒枪征 D.米老鼠征 E.飞鸟征
答案 A
解析

猜你喜欢

发表评论
更多 网友评论0 条评论)
暂无评论

访问排行

Copyright © 2012-2014 恰考网 Inc. 保留所有权利。 Powered by tikuer.com

页面耗时0.0445秒, 内存占用1.02 MB, Cache:redis,访问数据库13次