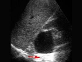
红色箭头所指部位是?(?)A.后部回声增强B.声影C.无回声D.强回声E.等回声

作者: rantiku 人气: - 评论: 0
问题 红色箭头所指部位是?(?)
选项 A.后部回声增强 B.声影 C.无回声 D.强回声 E.等回声
答案 A
解析

猜你喜欢

发表评论
更多 网友评论0 条评论)
暂无评论

访问排行

Copyright © 2012-2014 恰考网 Inc. 保留所有权利。 Powered by tikuer.com

页面耗时0.0383秒, 内存占用1.03 MB, Cache:redis,访问数据库15次