以下声像图显示?(?)A.振铃效应B.声影C.旁瓣效应D.部分容积效应E.镜像效应

作者: rantiku 人气: - 评论: 0
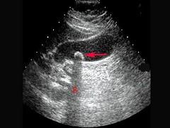
问题 以下声像图显示?(?)
选项 A.振铃效应 B.声影 C.旁瓣效应 D.部分容积效应 E.镜像效应
答案 B
解析

猜你喜欢

发表评论
更多 网友评论0 条评论)
暂无评论

访问排行

Copyright © 2012-2014 恰考网 Inc. 保留所有权利。 Powered by tikuer.com

页面耗时0.0993秒, 内存占用1.03 MB, Cache:redis,访问数据库17次