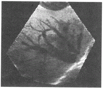
下图是采用了哪项超声新技术显示肝脏及其内部血管:A.血管造影成像B.血流能量图模式三维成像C.表面模式三维成像D.透明模式三维成像

作者: rantiku 人气: - 评论: 0
问题 下图是采用了哪项超声新技术显示肝脏及其内部血管:
选项 A.血管造影成像 B.血流能量图模式三维成像 C.表面模式三维成像 D.透明模式三维成像
答案 D
解析

猜你喜欢

发表评论
更多 网友评论0 条评论)
暂无评论

访问排行

Copyright © 2012-2014 恰考网 Inc. 保留所有权利。 Powered by tikuer.com

页面耗时0.0439秒, 内存占用1.03 MB, Cache:redis,访问数据库15次