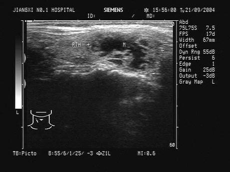
患者感颈部肿胀1年余。根据超声声像图,诊断为?(?)A.多发腺瘤B.结节性甲状腺肿并囊变C.甲状腺囊肿D.甲状腺癌E.甲状腺炎

作者: rantiku 人气: - 评论: 0
问题 患者感颈部肿胀1年余。根据超声声像图,诊断为?(?)
选项 A.多发腺瘤 B.结节性甲状腺肿并囊变 C.甲状腺囊肿 D.甲状腺癌 E.甲状腺炎
答案 B
解析

猜你喜欢

发表评论
更多 网友评论0 条评论)
暂无评论

访问排行

Copyright © 2012-2014 恰考网 Inc. 保留所有权利。 Powered by tikuer.com

页面耗时0.0606秒, 内存占用1.03 MB, Cache:redis,访问数据库17次