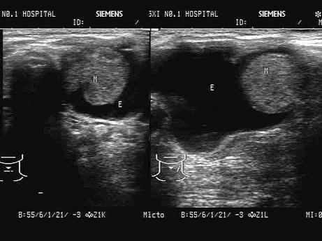
患者,女,65岁,近半月颈部明显增大。超声检查如图,最可能的诊断为?(?)A.甲状腺囊肿B.结节性甲状腺肿C.甲状腺腺瘤并囊变D.甲状腺乳...

作者: rantiku 人气: - 评论: 0
问题 患者,女,65岁,近半月颈部明显增大。超声检查如图,最可能的诊断为?(?)
选项 A.甲状腺囊肿 B.结节性甲状腺肿 C.甲状腺腺瘤并囊变 D.甲状腺乳头状囊腺癌 E.甲状腺炎
答案 D
解析

猜你喜欢

发表评论
更多 网友评论0 条评论)
暂无评论

访问排行

Copyright © 2012-2014 恰考网 Inc. 保留所有权利。 Powered by tikuer.com

页面耗时0.0371秒, 内存占用1.03 MB, Cache:redis,访问数据库19次