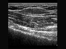
患者上肢可扪及一包块,质软、活动度差,加压可变形。如图,提示为?(?)A.脂肪瘤B.纤维瘤C.软组织局限增厚D.炎性包块E.以上均不是

作者: rantiku 人气: - 评论: 0
问题 患者上肢可扪及一包块,质软、活动度差,加压可变形。如图,提示为?(?)
选项 A.脂肪瘤 B.纤维瘤 C.软组织局限增厚 D.炎性包块 E.以上均不是
答案 C
解析

猜你喜欢

发表评论
更多 网友评论0 条评论)
暂无评论

访问排行

Copyright © 2012-2014 恰考网 Inc. 保留所有权利。 Powered by tikuer.com

页面耗时0.0585秒, 内存占用1.03 MB, Cache:redis,访问数据库15次