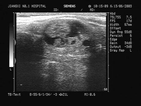
患者发现颈部肿块数年,无明显不适。甲状腺超声如图,最可能的诊断为?(?)A.甲状腺癌B.结节性甲状腺肿C.甲状腺炎D.甲状腺腺瘤并囊变...

作者: rantiku 人气: - 评论: 0
问题 患者发现颈部肿块数年,无明显不适。甲状腺超声如图,最可能的诊断为?(?)
选项 A.甲状腺癌 B.结节性甲状腺肿 C.甲状腺炎 D.甲状腺腺瘤并囊变 E.甲状腺囊肿
答案 D
解析

猜你喜欢

发表评论
更多 网友评论0 条评论)
暂无评论

访问排行

Copyright © 2012-2014 恰考网 Inc. 保留所有权利。 Powered by tikuer.com

页面耗时0.0504秒, 内存占用1.03 MB, Cache:redis,访问数据库14次