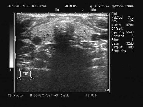
如图,正常甲状腺中部横切面的超声声像图,中央气管环状软骨前方组织为?(?)A.甲状腺峡部B.皮下组织C.甲状旁腺D.淋巴结E.以上均不对

作者: rantiku 人气: - 评论: 0
问题 如图,正常甲状腺中部横切面的超声声像图,中央气管环状软骨前方组织为?(?)
选项 A.甲状腺峡部 B.皮下组织 C.甲状旁腺 D.淋巴结 E.以上均不对
答案 A
解析

猜你喜欢

发表评论
更多 网友评论0 条评论)
暂无评论

访问排行

Copyright © 2012-2014 恰考网 Inc. 保留所有权利。 Powered by tikuer.com

页面耗时0.0380秒, 内存占用1.03 MB, Cache:redis,访问数据库14次