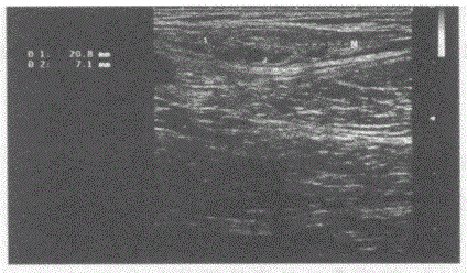
临床资料:男,40岁,常规体检。超声综合描述:右颈部可见数个长圆形低回声,边界清晰,部分融合。超声提示:A.右颈部多发肿大淋巴结B.右...

作者: rantiku 人气: - 评论: 0
问题 临床资料:男,40岁,常规体检。 超声综合描述:右颈部可见数个长圆形低回声,边界清晰,部分融合。 超声提示:
选项 A.右颈部多发肿大淋巴结 B.右颈部淋巴结转移瘤 C.右颈部正常淋巴结声像图 D.右颈部淋巴结结核
答案 A
解析

猜你喜欢

发表评论
更多 网友评论0 条评论)
暂无评论

访问排行

Copyright © 2012-2014 恰考网 Inc. 保留所有权利。 Powered by tikuer.com

页面耗时0.0346秒, 内存占用1.03 MB, Cache:redis,访问数据库19次