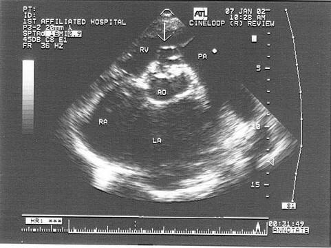
患者有明显胸痛史,其诊断可能是?(?)A.右冠窦膨隆B.嵴上型室缺C.右冠窦瘤破裂  D.右冠瓣脱垂E.左冠瓣脱垂

作者: rantiku 人气: - 评论: 0
问题 患者有明显胸痛史,其诊断可能是?(?)
选项 A.右冠窦膨隆 B.嵴上型室缺 C.右冠窦瘤破裂   D.右冠瓣脱垂 E.左冠瓣脱垂
答案 C
解析

猜你喜欢

发表评论
更多 网友评论0 条评论)
暂无评论

访问排行

Copyright © 2012-2014 恰考网 Inc. 保留所有权利。 Powered by tikuer.com

页面耗时0.0441秒, 内存占用1.03 MB, Cache:redis,访问数据库14次