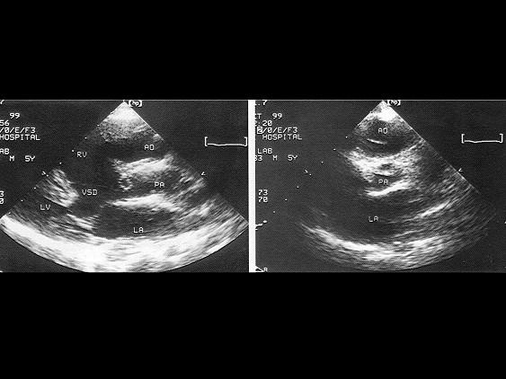
该病例最可能的诊断?(?)A.右室双出口并室间隔缺损B.主动脉骑跨C.室间隔缺损D.大动脉异位E.左室双出口

作者: rantiku 人气: - 评论: 0
问题 该病例最可能的诊断?(?)
选项 A.右室双出口并室间隔缺损 B.主动脉骑跨 C.室间隔缺损 D.大动脉异位 E.左室双出口
答案 A
解析

猜你喜欢

发表评论
更多 网友评论0 条评论)
暂无评论

访问排行

Copyright © 2012-2014 恰考网 Inc. 保留所有权利。 Powered by tikuer.com

页面耗时0.0977秒, 内存占用1.03 MB, Cache:redis,访问数据库20次