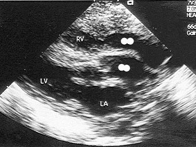
该病例最可能的诊断?(?)A.矫正型大动脉转位B.右室双出口C.完全性大动脉转位D.主动脉骑跨E.单心室

作者: rantiku 人气: - 评论: 0
问题 该病例最可能的诊断?(?)
选项 A.矫正型大动脉转位 B.右室双出口 C.完全性大动脉转位 D.主动脉骑跨 E.单心室
答案 C
解析

猜你喜欢

发表评论
更多 网友评论0 条评论)
暂无评论

访问排行

Copyright © 2012-2014 恰考网 Inc. 保留所有权利。 Powered by tikuer.com

页面耗时0.0379秒, 内存占用1.03 MB, Cache:redis,访问数据库17次