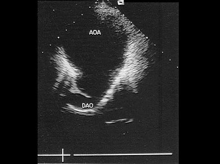
该病例最可能诊断?(?)A.真性动脉瘤B.假性动脉瘤C.夹层动脉瘤D.以上都不是E.主动脉瓣狭窄

作者: rantiku 人气: - 评论: 0
问题 该病例最可能诊断?(?)
选项 A.真性动脉瘤 B.假性动脉瘤 C.夹层动脉瘤 D.以上都不是 E.主动脉瓣狭窄
答案 A
解析

猜你喜欢

发表评论
更多 网友评论0 条评论)
暂无评论

访问排行

Copyright © 2012-2014 恰考网 Inc. 保留所有权利。 Powered by tikuer.com

页面耗时0.0551秒, 内存占用1.03 MB, Cache:redis,访问数据库19次