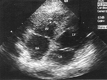
该病例最可能的诊断?(?)A.右室流出道狭窄B.肺动脉瓣狭窄C.室间隔缺损D.右室双腔心E.以上都不是

作者: rantiku 人气: - 评论: 0
问题 该病例最可能的诊断?(?)
选项 A.右室流出道狭窄 B.肺动脉瓣狭窄 C.室间隔缺损 D.右室双腔心 E.以上都不是
答案 D
解析

猜你喜欢

发表评论
更多 网友评论0 条评论)
暂无评论

访问排行

Copyright © 2012-2014 恰考网 Inc. 保留所有权利。 Powered by tikuer.com

页面耗时0.0481秒, 内存占用1.03 MB, Cache:redis,访问数据库15次