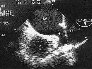
该图箭头显示图像为?(?)A.左心耳B.肺静脉C.右心耳D.上腔静脉E.下腔静脉

作者: rantiku 人气: - 评论: 0
问题 该图箭头显示图像为?(?)
选项 A.左心耳 B.肺静脉 C.右心耳 D.上腔静脉 E.下腔静脉
答案 A
解析

猜你喜欢

发表评论
更多 网友评论0 条评论)
暂无评论

访问排行

Copyright © 2012-2014 恰考网 Inc. 保留所有权利。 Powered by tikuer.com

页面耗时0.0452秒, 内存占用1.03 MB, Cache:redis,访问数据库20次