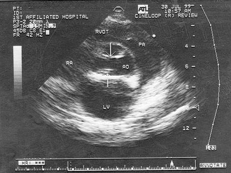
该病例最可能诊断?(?)A.主动脉瓣钙化B.先天性主动脉瓣畸形(二叶式)C.风湿性瓣膜病D.主动脉瓣脱垂E.主动脉窦瘤

作者: rantiku 人气: - 评论: 0
问题 该病例最可能诊断?(?)
选项 A.主动脉瓣钙化 B.先天性主动脉瓣畸形(二叶式) C.风湿性瓣膜病 D.主动脉瓣脱垂 E.主动脉窦瘤
答案 B
解析

猜你喜欢

发表评论
更多 网友评论0 条评论)
暂无评论

访问排行

Copyright © 2012-2014 恰考网 Inc. 保留所有权利。 Powered by tikuer.com

页面耗时0.0528秒, 内存占用1.03 MB, Cache:redis,访问数据库19次