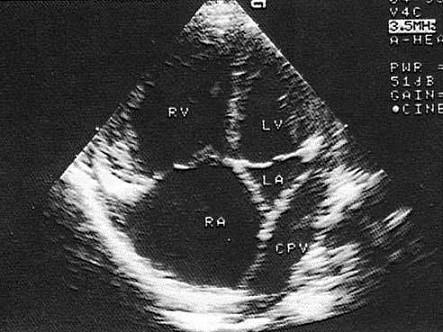
该病例最可能的诊断?(?)A.三房心B.部分性肺静脉畸形引流C.完全性肺静脉畸形引流D.瓣上环E.部分型心内膜垫缺损

作者: rantiku 人气: - 评论: 0
问题 该病例最可能的诊断?(?)
选项 A.三房心 B.部分性肺静脉畸形引流 C.完全性肺静脉畸形引流 D.瓣上环 E.部分型心内膜垫缺损
答案 C
解析

猜你喜欢

发表评论
更多 网友评论0 条评论)
暂无评论

访问排行

Copyright © 2012-2014 恰考网 Inc. 保留所有权利。 Powered by tikuer.com

页面耗时0.1010秒, 内存占用1.03 MB, Cache:redis,访问数据库15次