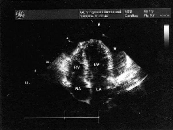
该病例最有可能诊断?(?)A.心包炎并心包积液B.心衰C.心包缩窄D.心包填塞E.胸腔积液

作者: rantiku 人气: - 评论: 0
问题 该病例最有可能诊断?(?)
选项 A.心包炎并心包积液 B.心衰 C.心包缩窄 D.心包填塞 E.胸腔积液
答案 A
解析

猜你喜欢

发表评论
更多 网友评论0 条评论)
暂无评论

访问排行

Copyright © 2012-2014 恰考网 Inc. 保留所有权利。 Powered by tikuer.com

页面耗时0.0393秒, 内存占用1.03 MB, Cache:redis,访问数据库17次