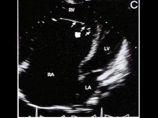
该病例最可能的诊断?(?)A.右室双腔B.三尖瓣缺如C.异位腱索D.三尖瓣下移E.室间隔缺损

作者: rantiku 人气: - 评论: 0
问题 该病例最可能的诊断?(?)
选项 A.右室双腔 B.三尖瓣缺如 C.异位腱索 D.三尖瓣下移 E.室间隔缺损
答案 D
解析

猜你喜欢

发表评论
更多 网友评论0 条评论)
暂无评论

访问排行

Copyright © 2012-2014 恰考网 Inc. 保留所有权利。 Powered by tikuer.com

页面耗时0.0376秒, 内存占用1.03 MB, Cache:redis,访问数据库20次