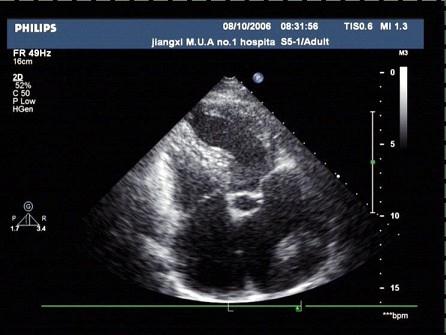
某患者,超声心动图检查如图,考虑?(?)A.左房血栓B.黏液瘤C.左房肿瘤D.赘生物E.以上均不是

作者: rantiku 人气: - 评论: 0
问题 某患者,超声心动图检查如图,考虑?(?)
选项 A.左房血栓 B.黏液瘤 C.左房肿瘤 D.赘生物 E.以上均不是
答案 A
解析

猜你喜欢

发表评论
更多 网友评论0 条评论)
暂无评论

访问排行

Copyright © 2012-2014 恰考网 Inc. 保留所有权利。 Powered by tikuer.com

页面耗时0.0443秒, 内存占用1.03 MB, Cache:redis,访问数据库20次