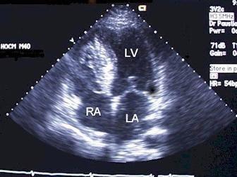
心尖四腔切面,二尖瓣与三尖瓣的鉴别正确的是?(?)A.二尖瓣前叶较短B.二尖瓣位置高C.三尖瓣位置高D.三尖瓣隔叶较长E.三尖瓣前叶较长

作者: rantiku 人气: - 评论: 0
问题 心尖四腔切面,二尖瓣与三尖瓣的鉴别正确的是?(?)
选项 A.二尖瓣前叶较短 B.二尖瓣位置高 C.三尖瓣位置高 D.三尖瓣隔叶较长 E.三尖瓣前叶较长
答案 B
解析

猜你喜欢

发表评论
更多 网友评论0 条评论)
暂无评论

访问排行

Copyright © 2012-2014 恰考网 Inc. 保留所有权利。 Powered by tikuer.com

页面耗时0.0384秒, 内存占用1.03 MB, Cache:redis,访问数据库20次