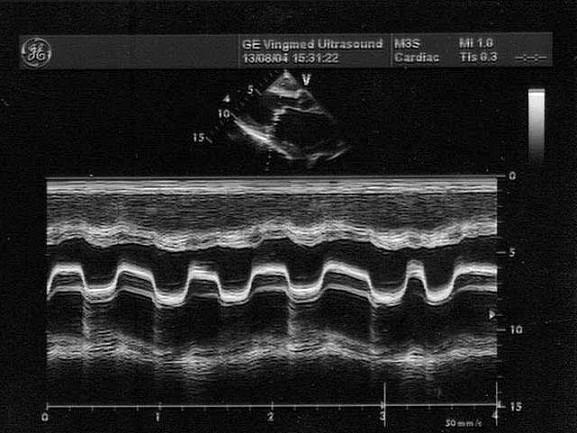
该病例最有可能诊断?(?)A.左房黏液瘤B.主动脉瓣关闭不全C.二尖瓣狭窄D.二尖瓣关闭不全E.二尖瓣脱垂

作者: rantiku 人气: - 评论: 0
问题 该病例最有可能诊断?(?)
选项 A.左房黏液瘤 B.主动脉瓣关闭不全 C.二尖瓣狭窄 D.二尖瓣关闭不全 E.二尖瓣脱垂
答案 C
解析

猜你喜欢

发表评论
更多 网友评论0 条评论)
暂无评论

访问排行

Copyright © 2012-2014 恰考网 Inc. 保留所有权利。 Powered by tikuer.com

页面耗时0.1060秒, 内存占用1.03 MB, Cache:redis,访问数据库20次