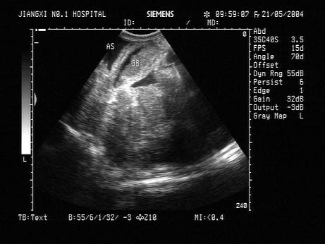
男,36岁,患乙肝大三阳十多年,现发现腹腔内大量腹水。声像图如图所示,结合超声声像图,诊断为?(?)A.急性化脓性胆囊炎,胆汁淤积B.慢性肾病引起...

作者: rantiku 人气: - 评论: 0
问题 男,36岁,患乙肝大三阳十多年,现发现腹腔内大量腹水。声像图如图所示,结合超声声像图,诊断为?(?)
选项 A.急性化脓性胆囊炎,胆汁淤积 B.慢性肾病引起低蛋白血症,胆囊壁水肿,胆汁淤积 C.肝硬化所致低蛋白血症,胆囊壁水肿,胆汁淤积 D.心衰引起胆囊壁水肿,胆汁淤积 E.胆囊癌
答案 C
解析

猜你喜欢

发表评论
更多 网友评论0 条评论)
暂无评论

访问排行

Copyright © 2012-2014 恰考网 Inc. 保留所有权利。 Powered by tikuer.com

页面耗时0.0706秒, 内存占用1.03 MB, Cache:redis,访问数据库18次