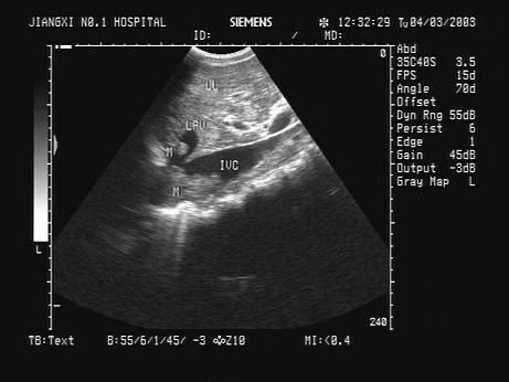
某患者肝脏及下腔静脉肝段内见异常回声。声像图表现如图,诊断为?(?)A.艾森曼格综合征B.布加综合征C.麦格综合征D.川畸病E.马方综合征

作者: rantiku 人气: - 评论: 0
问题 某患者肝脏及下腔静脉肝段内见异常回声。声像图表现如图,诊断为?(?)
选项 A.艾森曼格综合征 B.布加综合征 C.麦格综合征 D.川畸病 E.马方综合征
答案 B
解析

猜你喜欢

发表评论
更多 网友评论0 条评论)
暂无评论

访问排行

Copyright © 2012-2014 恰考网 Inc. 保留所有权利。 Powered by tikuer.com

页面耗时0.0458秒, 内存占用1.03 MB, Cache:redis,访问数据库19次