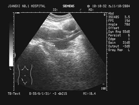
患者,胃癌手术后2年,髂窝处声像图表现如图,诊断是?(?)A.正常声像图B.肿大淋巴结C.阑尾脓肿D.肠道转移灶E.动脉瘤

作者: rantiku 人气: - 评论: 0
问题 患者,胃癌手术后2年,髂窝处声像图表现如图,诊断是?(?)
选项 A.正常声像图 B.肿大淋巴结 C.阑尾脓肿 D.肠道转移灶 E.动脉瘤
答案 B
解析

猜你喜欢

发表评论
更多 网友评论0 条评论)
暂无评论

访问排行

Copyright © 2012-2014 恰考网 Inc. 保留所有权利。 Powered by tikuer.com

页面耗时0.0320秒, 内存占用1.03 MB, Cache:redis,访问数据库20次