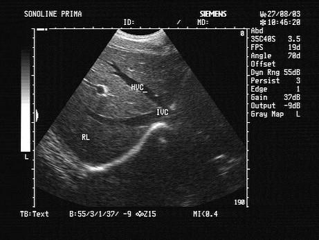
肝脏超声检查中,哪种切面能够显示如图所示声像图?(?)A.肋下斜切B.肋间斜切C.剑下纵切D.肋间横切E.剑下横切

作者: rantiku 人气: - 评论: 0
问题 肝脏超声检查中,哪种切面能够显示如图所示声像图?(?)
选项 A.肋下斜切 B.肋间斜切 C.剑下纵切 D.肋间横切 E.剑下横切
答案 A
解析

猜你喜欢

发表评论
更多 网友评论0 条评论)
暂无评论

访问排行

Copyright © 2012-2014 恰考网 Inc. 保留所有权利。 Powered by tikuer.com

页面耗时0.0391秒, 内存占用1.03 MB, Cache:redis,访问数据库20次