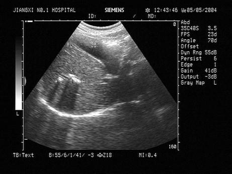
男,42岁,体检,无明显不适。超声示肝内外胆管无明显扩张,肝右叶可见强回声条状回声,如图箭头所示异常光团,最可能的是?(?)A.管壁钙化B.肝内胆...

作者: rantiku 人气: - 评论: 0
问题 男,42岁,体检,无明显不适。超声示肝内外胆管无明显扩张,肝右叶可见强回声条状回声,如图箭头所示异常光团,最可能的是?(?)
选项 A.管壁钙化 B.肝内胆管结石 C.胆道蛔虫 D.胆道气体 E.胆管癌
答案 A
解析

猜你喜欢

发表评论
更多 网友评论0 条评论)
暂无评论

访问排行

Copyright © 2012-2014 恰考网 Inc. 保留所有权利。 Powered by tikuer.com

页面耗时0.0325秒, 内存占用1.03 MB, Cache:redis,访问数据库19次