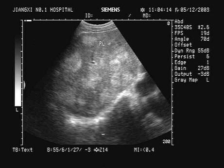
某患者,男,45岁,肝区不适,肝功能异常。行超声检查如图,诊断为?(?)A.弥漫性肝癌B.结节状肝硬化C.多发性血管瘤D.血吸虫肝E....

作者: rantiku 人气: - 评论: 0
问题 某患者,男,45岁,肝区不适,肝功能异常。行超声检查如图,诊断为?(?)
选项 A.弥漫性肝癌 B.结节状肝硬化 C.多发性血管瘤 D.血吸虫肝 E.不均匀性脂肪肝
答案 A
解析

猜你喜欢

发表评论
更多 网友评论0 条评论)
暂无评论

访问排行

Copyright © 2012-2014 恰考网 Inc. 保留所有权利。 Powered by tikuer.com

页面耗时0.0356秒, 内存占用1.03 MB, Cache:redis,访问数据库19次