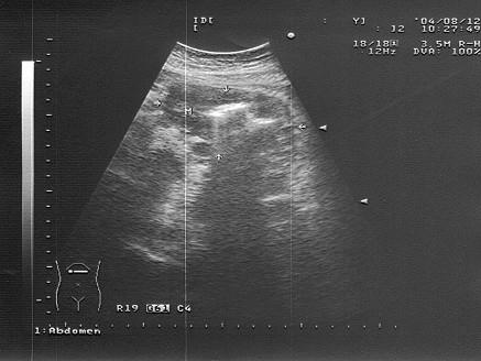
男,67岁,呕血,有胃溃疡病史,治疗后可缓解。根据超声声像图诊断为?(?)A.结肠肝曲癌B.肝癌C.胃癌D.腹膜后肿块E.胃溃疡

作者: rantiku 人气: - 评论: 0
问题 男,67岁,呕血,有胃溃疡病史,治疗后可缓解。根据超声声像图诊断为?(?)
选项 A.结肠肝曲癌 B.肝癌 C.胃癌 D.腹膜后肿块 E.胃溃疡
答案 C
解析

猜你喜欢

发表评论
更多 网友评论0 条评论)
暂无评论

访问排行

Copyright © 2012-2014 恰考网 Inc. 保留所有权利。 Powered by tikuer.com

页面耗时0.0368秒, 内存占用1.02 MB, Cache:redis,访问数据库14次