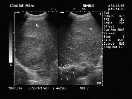
女,51岁,乏力,右上腹痛半个月。结合超声声像图,诊断为?(?)A.肝癌B.局限性脂肪肝C.肝包虫病D.肝囊肿E.肝脓肿

作者: rantiku 人气: - 评论: 0
问题 女,51岁,乏力,右上腹痛半个月。结合超声声像图,诊断为?(?)
选项 A.肝癌 B.局限性脂肪肝 C.肝包虫病 D.肝囊肿 E.肝脓肿
答案 A
解析

猜你喜欢

发表评论
更多 网友评论0 条评论)
暂无评论

访问排行

Copyright © 2012-2014 恰考网 Inc. 保留所有权利。 Powered by tikuer.com

页面耗时0.0481秒, 内存占用1.03 MB, Cache:redis,访问数据库20次