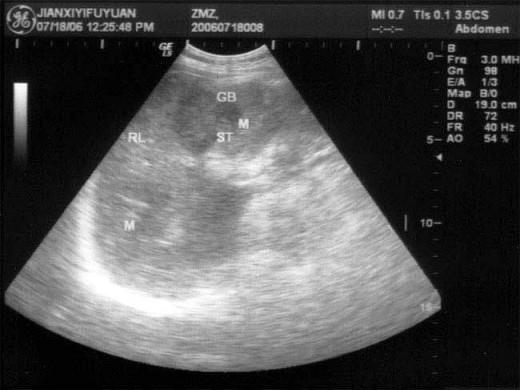
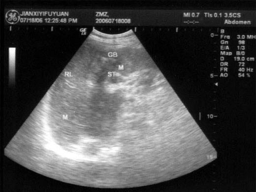
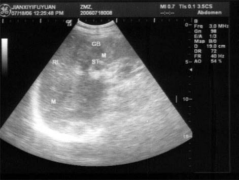
患者男46岁,既往有胆囊结石病史,上腹部疼痛不适年余,加重1个月,皮肤、巩膜轻度黄染,B超检查如图所示,根据超声声像图,诊断为?(?)A....

作者: rantiku 人气: - 评论: 0
问题 患者男46岁,既往有胆囊结石病史,上腹部疼痛不适年余,加重1个月,皮肤、巩膜轻度黄染,B超检查如图所示,根据超声声像图,诊断为?(?)
选项 A.胆囊结石并胆囊炎,肝血管瘤 B.胆囊结石并胆汁淤积,肝血管瘤 C.胆囊结石并胆囊癌,肝转移性癌 D.胆囊结石并肝癌 E.胆囊结石并胆息肉,肝转移性癌
答案 C
解析

猜你喜欢

发表评论
更多 网友评论0 条评论)
暂无评论

访问排行

Copyright © 2012-2014 恰考网 Inc. 保留所有权利。 Powered by tikuer.com

页面耗时0.0479秒, 内存占用1.03 MB, Cache:redis,访问数据库20次