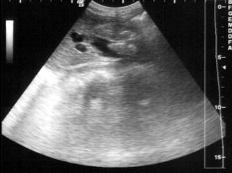
患者女32岁,反复上腹部疼痛10年余,加重时皮肤、巩膜黄染。B超检查如图所示,根据超声声像图,诊断为?(?)A.胆总管蛔虫B.胆总管癌C.胆总...

作者: rantiku 人气: - 评论: 0
问题 患者女32岁,反复上腹部疼痛10年余,加重时皮肤、巩膜黄染。B超检查如图所示,根据超声声像图,诊断为?(?)
选项 A.胆总管蛔虫 B.胆总管癌 C.胆总管结石 D.胆总管内胆泥淤积 E.胆总管内引流管回声
答案 C
解析

猜你喜欢

发表评论
更多 网友评论0 条评论)
暂无评论

访问排行

Copyright © 2012-2014 恰考网 Inc. 保留所有权利。 Powered by tikuer.com

页面耗时0.0366秒, 内存占用1.03 MB, Cache:redis,访问数据库20次