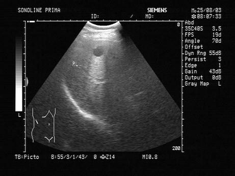
女,50岁,上腹不适。结合超声声像图,诊断为?(?)A.肝血管瘤B.肝癌C.炎性假瘤D.肝脓肿E.肝囊肿

作者: rantiku 人气: - 评论: 0
问题 女,50岁,上腹不适。结合超声声像图,诊断为?(?)
选项 A.肝血管瘤 B.肝癌 C.炎性假瘤 D.肝脓肿 E.肝囊肿
答案 E
解析

猜你喜欢

发表评论
更多 网友评论0 条评论)
暂无评论

访问排行

Copyright © 2012-2014 恰考网 Inc. 保留所有权利。 Powered by tikuer.com

页面耗时0.0413秒, 内存占用1.03 MB, Cache:redis,访问数据库19次