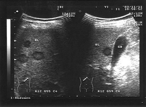
女,52岁,右上腹不适,CT示卵巢占位,结合超声声像图,诊断为?(?)A.肝囊肿B.肝包虫病C.转移性肝癌D.肝脓肿E.肝血管瘤

作者: rantiku 人气: - 评论: 0
问题 女,52岁,右上腹不适,CT示卵巢占位,结合超声声像图,诊断为?(?)
选项 A.肝囊肿 B.肝包虫病 C.转移性肝癌 D.肝脓肿 E.肝血管瘤
答案 C
解析

猜你喜欢

发表评论
更多 网友评论0 条评论)
暂无评论

访问排行

Copyright © 2012-2014 恰考网 Inc. 保留所有权利。 Powered by tikuer.com

页面耗时0.0510秒, 内存占用1.03 MB, Cache:redis,访问数据库20次