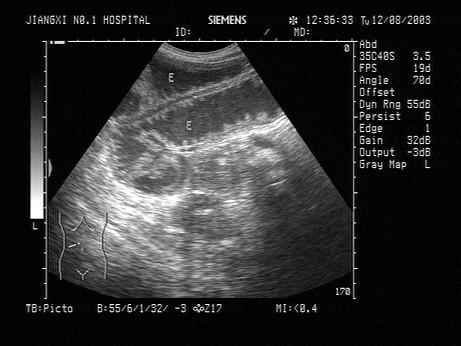
患者,男,42岁,腹痛、呕吐。结合超声声像图,最可能的诊断是?(?)A.腹膜炎B.阑尾炎C.肠梗阻D.肠道占位E.肠穿孔

作者: rantiku 人气: - 评论: 0
问题 患者,男,42岁,腹痛、呕吐。结合超声声像图,最可能的诊断是?(?)
选项 A.腹膜炎 B.阑尾炎 C.肠梗阻 D.肠道占位 E.肠穿孔
答案 C
解析

猜你喜欢

发表评论
更多 网友评论0 条评论)
暂无评论

访问排行

Copyright © 2012-2014 恰考网 Inc. 保留所有权利。 Powered by tikuer.com

页面耗时0.0515秒, 内存占用1.03 MB, Cache:redis,访问数据库19次